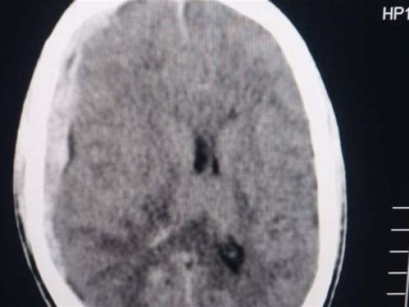
أعلنت مستشفى الأزهر الجامعي دمياط الجديدة حالة إنقاذ ناجحة داخل قسم الطوارئ ووحدة العناية المركزة بالطوارئ في إطار الدور الحيوي الذي
إنقاذ حياة شاب أصيب في رأسه بألة حادة في دمياط
- منذ 15 ساعات
الدستور
Loading images...







